





Agende sua consulta agora
Erro: Formulário de contato não encontrado.
Agende sua consulta agora
Erro: Formulário de contato não encontrado.
Clínica e Cirurgia da Articulação Temporomandibular
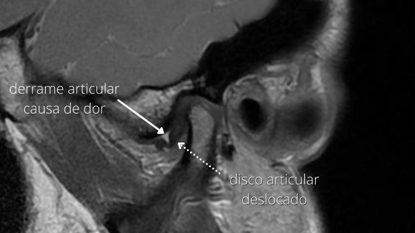
As alterações das articulações temporomandibulares podem causar transtornos da forma da face, do movimento da mandíbula e dor, referida na região lateral do crânio e da face. Podem estar presentes de forma isolada, ou associada com outras disfunções temporomandibulares, principalmente musculares.
Nos transtornos de forma e movimento, tratamentos funcionais e cirúrgicos estão bastante consolidados, indicados de acordo com a natureza e o grau de evolução da patologia. Da mesma forma, nos transtornos temporomandibulares musculares, quando não há característica de recorrência ou cronicidade, terapias por meio de placas oclusais combinadas com fisioterapia, são bastante eficientes.
Nos transtornos de dor recorrente ou crônica, o diagnóstico e compreensão da fisiologia da dor são essenciais para a correta indicação de tratamento clínico, farmacológico e funcional. A cirurgia tem papel secundário, contribuindo em casos selecionados. Nos quadros de dor, há uma cultura de tratamento mecânico, nem sempre eficiente, já que o fenômeno de sensibilização central – quando a origem da dor não está mais necessariamente conectada à lesão inicial que gerou o primeiro estímulo – associado a fatores psicológicos do paciente, tornam o tratamento mais complexo.
O diferencial do especialista em dor orofacial e disfunção temporomandibular é compreender melhor o amplo escopo desse tipo de distúrbio e suas implicações neurofisiológicas. A cirurgia isoladamente pouco soma. Abordagens interdisciplinares, farmacoterapia, fisioterapia e cuidados com a saúde emocional possibilitam melhores resultados, quando o paciente aceita e compreende a natureza do problema.
Pacientes com restrição prolongada da abertura da boca, com deformidades articulares ou com dor articular que não responda a métodos não invasivos podem ser candidatos à cirurgia. Principalmente nos transtornos que determinam dor ou limitação de movimento, as abordagens minimamente invasivas são desejáveis, por meio de procedimentos artroscópicos. As cirurgias abertas da articulação são indicadas como opção complementar, ou em casos onde a alteração da forma da articulação tenha repercussões funcionais ou mesmo na morfologia facial.
Deseja saber mais? Entre em contato e tire suas dúvidas!








Dr. Baraldi
A cirurgia bucomaxilofacial me fez uma pessoa melhor. Da curiosidade de um estudante tímido, um observador calado; ao fiel amor de um professor que ensina para aprender, o motor da melhora técnica me levou adiante. A mesma técnica trouxe resultados que me ajudaram a me aproximar das pessoas e dividir com elas medos e alegrias. A cirurgia é minha forma de expressão e conexão com o outro. Seja paciente, aluno ou colega. Divido a gratidão por ela proporcionada. Sem parar, a técnica se aperfeiçoa na repetição, temperada pelo tempo e pelas variações que a natureza lindamente traz.
Novidades e Tecnologias
Um aspecto interessante da nossa clínica é o uso de tecnologias para qualificar o resultado e a experiência da cirurgia. Biomateriais, terapia laser de baixa intensidade, fibrina rica em plaquetas. Saiba mais em nosso blog.
Hospitais
Nossas cirurgias são realizadas no Hospital Blanc, Hospital Mãe de Deus, Hospital Moinhos de Vento e Santa Casa de Misericórdia de Porto Alegre.




Para sua segurança contamos com o apoio das melhores equipes de anestesistas de Porto Alegre, tanto para pacientes adultos, como pediátricos.
Política de Pagamento
Nossa proposta é para quem busca qualidade em seu tratamento, atendimento com importantes valores praticados: segurança, excelência técnica, cordialidade e acolhimento. Isso exige compreensão e esforço de todos os envolvidos.A fim de estender o acesso à nossa clínica, oferecemos condições personalizadas de pagamento, bem como atendemos alguns convênios como credenciados (Amil, Sul América, Saúde Caixa, Ajuris, Cabergs).





Viabilizamos cirurgias também para segurados de outros convênios como UNIMEDs, Bradesco Saúde e outras seguradoras, e contamos com equipe especializada para reembolsos de procedimentos hospitalares.


Novidades e Tecnologias
Um aspecto interessante da nossa clínica é o uso de tecnologias para qualificar o resultado e a experiência da cirurgia. Biomateriais, terapia laser de baixa intensidade, fibrina rica em plaquetas. Saiba mais em nosso bog.
Hospitais
Nossas cirurgias são realizadas no Hospital Blanc, Hospital Mãe de Deus, Hospital Moinhos de Vento e Santa Casa de Misericórdia de Porto Alegre.




Para sua segurança contamos com o apoio das melhores equipes de anestesistas de Porto Alegre, tanto para pacientes adultos, como pediátricos.
Política de Pagamento
Nossa proposta é para quem busca qualidade em seu tratamento, atendimento com importantes valores praticados: segurança, excelência técnica, cordialidade e acolhimento. Isso exige compreensão e esforço de todos os envolvidos.A fim de estender o acesso à nossa clínica, oferecemos condições personalizadas de pagamento, bem como atendemos alguns convênios como credenciados (Amil, Sul América, Saúde Caixa, Ajuris, Cabergs).





Viabilizamos cirurgias também para segurados de outros convênios como UNIMEDs, Bradesco Saúde e outras seguradoras, e contamos com equipe especializada para reembolsos de procedimentos hospitalares.


Outros serviços disponíveis
Cirurgia Ortognática
Intervenções destinadas a corrigir a forma intrínseca e o posicionamento espacial dos ossos maxilares
Cirurgia Oral
Extrações e cirurgias de dentes inclusos são os procedimentos mais frequentes da cirurgia bucomaxilofacial
Implantes Dentários
Implantes osseointegráveis, desde ausências unitárias até a reabilitação completa dos arcos com diferentes tipos de próteses




Erro: Formulário de contato não encontrado.