









Cirurgia Ortognática
Está cansado(a) de conviver com problemas dentários que afetam sua autoestima e qualidade de vida? A cirurgia ortognática pode ser a solução para você!
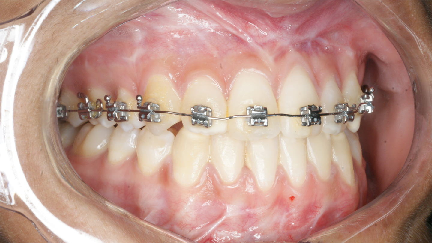
A cirurgia ortognática é um procedimento que corrige desequilíbrios dentofaciais, promovendo uma melhora significativa na estética facial e na função mastigatória. Com a ajuda de um ortodontista experiente e um cirurgião oral e maxilofacial qualificado, podemos ajudá-lo(a) a atingir o sorriso e a aparência que sempre quis.
Os benefícios da cirurgia ortognática incluem:
- Correção de desequilíbrios dentofaciais que afetam a aparência facial e a função mastigatória;
- Melhora na qualidade de vida, com maior conforto ao comer e falar;
- Aumento da autoestima e confiança;
- Correção de problemas respiratórios e da apneia do sono;
- Possibilidade de alinhar os dentes e melhorar a mordida;
- Melhora na digestão de alimentos e na saúde bucal como um todo.
Além disso, a cirurgia ortognática é realizada em ambiente hospitalar, com anestesia geral, proporcionando o máximo de conforto e segurança ao paciente.
Nosso time de especialistas está comprometido em oferecer o melhor atendimento possível, com um planejamento cuidadoso e individualizado para cada caso, visando o sucesso do procedimento e a satisfação plena do paciente.
Não deixe que problemas dentários interfiram na sua vida. Agende uma consulta conosco para saber mais sobre a cirurgia ortognática e como ela pode melhorar a sua qualidade de vida.
Estamos à disposição para esclarecer todas as suas dúvidas e acompanhá-lo(a) em todas as etapas do processo.
Agende sua consulta agora
Agende sua consulta agora
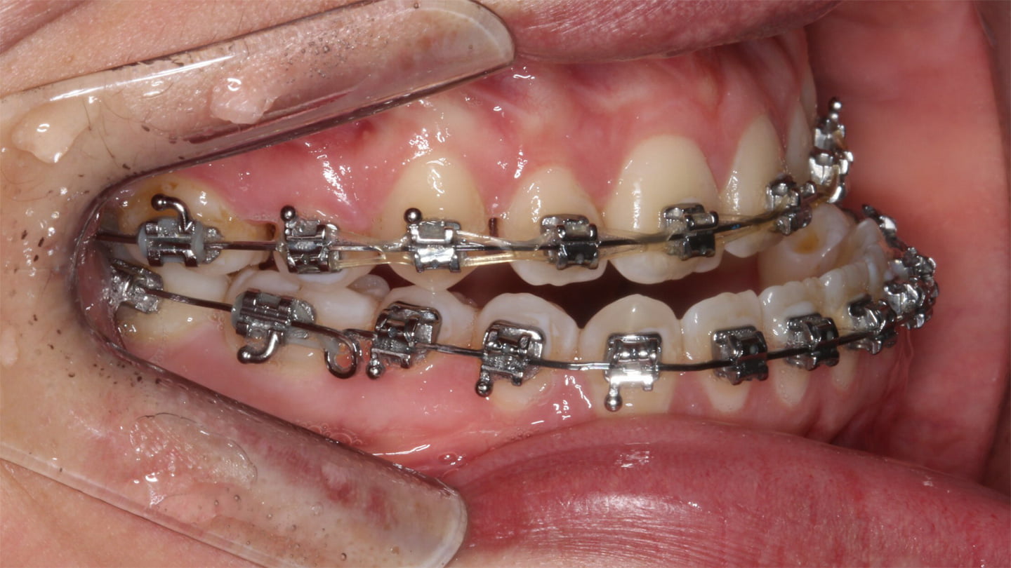
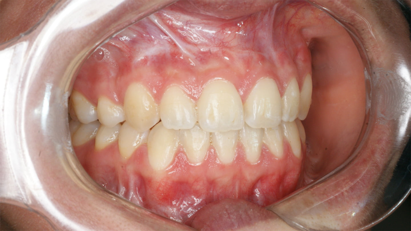
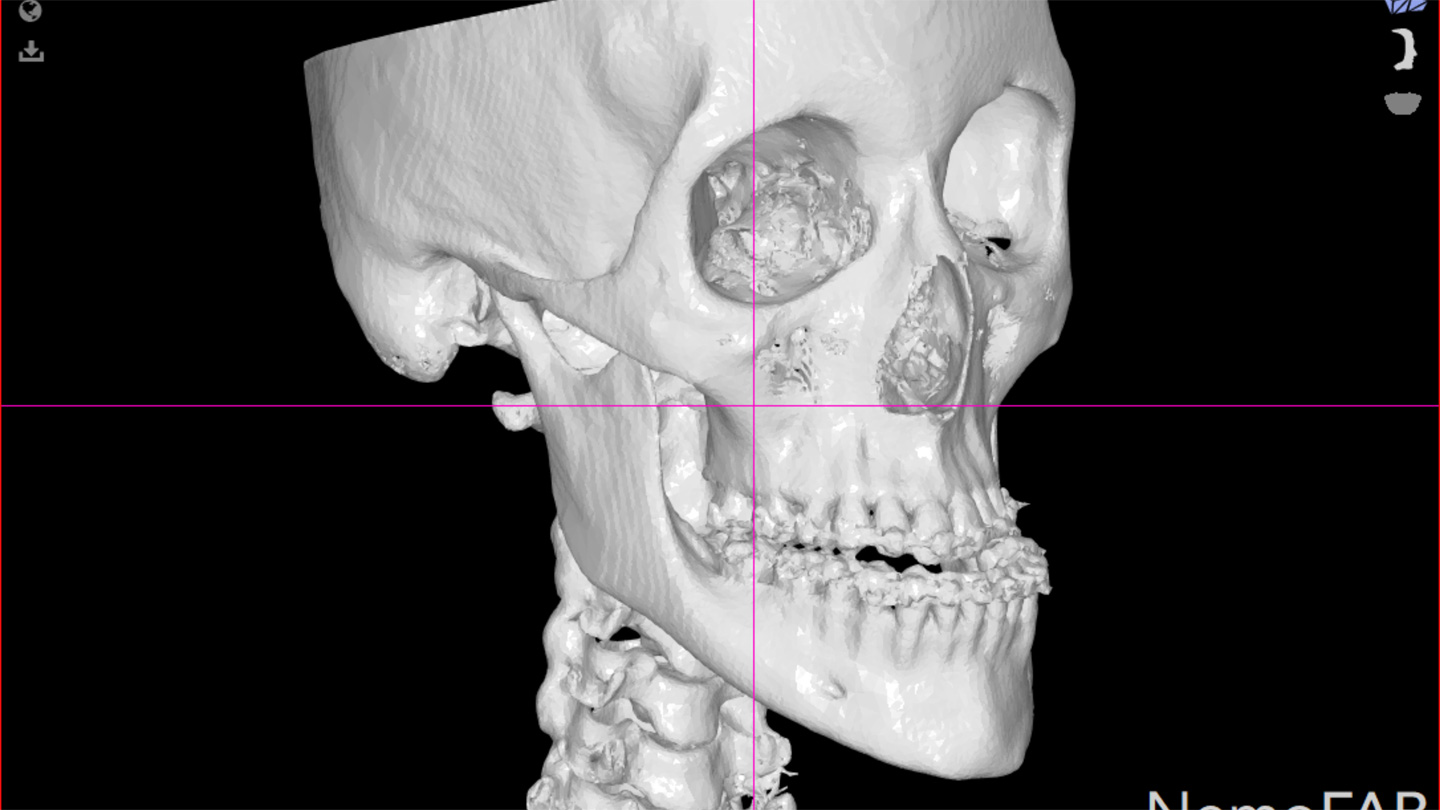
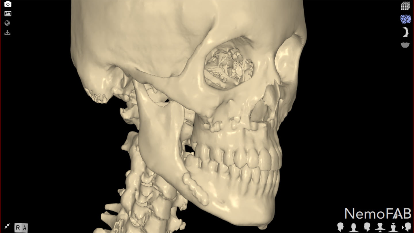
Indivíduos a partir do final da adolescência que apresentem alterações da forma ou do posicionamento dos ossos maxilares, com prejuízo funcional. Os problemas relacionados a essas alterações são diversos, assim como a percepção e as motivações dos pacientes. De uma forma geral, dificuldades mastigatórias pela má relação entre os arcos dentários; dificuldades de respiração pelo nariz ou apnéia obstrutiva; e alteração da forma da face e/ou dos dentes, com insatisfação estética consequente. Embora levando em consideração a estética e a percepção de si próprio do indivíduo – afinal é a sua face – a cirurgia ortognática possui caráter primariamente funcional. É um aspecto relevante, inclusive para coberturas de planos de saúde.
Na maioria das vezes a cirurgia é combinada com um tratamento ortodôntico – que antecede, acompanha e se estende após a cirurgia. A cirurgia é realizada em hospital, sob anestesia geral e com alguns dias de internação, mais ou menos extensa de acordo com a idade do paciente. Após a cirurgia, pede-se restrição de atividades físicas e da mastigação de alimentos sólidos por algumas semanas, durante as quais o paciente usa elásticos entre os dentes para guiar a nova mordida. Existe uma diminuição temporária da pele de algumas estruturas da face, cujo tempo varia de acordo com a idade do paciente. Fisioterapia e terapia fonológica aceleram a recuperação funcional e têm ganho espaço para uma recuperação mais rápida e eficiente.
Isso varia de acordo com as queixas e percepções do indivíduo frente à deformidade. De forma geral, melhora da mastigação em consequência do adequado relacionamento entre os maxilares entre si e demais estruturas crânio-faciais, melhora respiratória e aspecto facial mais harmônico, em 3D. Mais do que isso, passar por esse procedimento – isso eu aprendi com pacientes que tratei – é uma experiência de vida que fortalece e enriquece o indivíduo. É preciso determinação e resiliência, para aceitar o problema e enfrentar o tratamento. Eu vejo que muitos aproveitam o processo, quando compreendem o porquê de estarem fazendo.
A partir do final da adolescência, a cirurgia pode ser realizada. É importante que o indivíduo tenha percepção de seu problema e racionalize os motivos que o estão levando a fazer a cirurgia. Esse processo é variável, de uma pessoa para outra. Assim como em outras situações de nossa vida, algumas vezes a decisão de fazer é emocional e subjetiva; mas eu acho importante refletir a respeito e buscar explicações racionais. Isso ajuda a nos fortalecer mentalmente para o período pós-operatório – que não é exatamente fácil, se paramos para pensar. É preciso que o paciente queira fazer e busque seus próprios motivos para tal, independentemente de sua idade.
A técnica exige detalhes desde o planejamento, execução e seguimento, o que me encanta e desafia profissionalmente. Além disso, entendo que as melhoras funcionais e a melhor aceitação facial são aspectos relevantes na vida do paciente. Muitos sofrem em silêncio durante anos por isso, por não se encontrarem em sua própria imagem. Participar dessa jornada, junto com o paciente, uma conexão de confiança mútua, é uma experiência de muito significado para mim.
Deseja saber mais? Entre em contato e tire suas dúvidas!








Dr. Baraldi
A cirurgia bucomaxilofacial me fez uma pessoa melhor. Da curiosidade de um estudante tímido, um observador calado; ao fiel amor de um professor que ensina para aprender, o motor da melhora técnica me levou adiante. A mesma técnica trouxe resultados que me ajudaram a me aproximar das pessoas e dividir com elas medos e alegrias. A cirurgia é minha forma de expressão e conexão com o outro. Seja paciente, aluno ou colega. Divido a gratidão por ela proporcionada. Sem parar, a técnica se aperfeiçoa na repetição, temperada pelo tempo e pelas variações que a natureza lindamente traz.
Novidades e Tecnologias
Um aspecto interessante da nossa clínica é o uso de tecnologias para qualificar o resultado e a experiência da cirurgia. Biomateriais, terapia laser de baixa intensidade, fibrina rica em plaquetas. Saiba mais em nosso blog.
Hospitais
Nossas cirurgias são realizadas no Hospital Blanc, Hospital Mãe de Deus, Hospital Moinhos de Vento e Santa Casa de Misericórdia de Porto Alegre.




Para sua segurança contamos com o apoio das melhores equipes de anestesistas de Porto Alegre, tanto para pacientes adultos, como pediátricos.
Política de Pagamento
Nossa proposta é para quem busca qualidade em seu tratamento, atendimento com importantes valores praticados: segurança, excelência técnica, cordialidade e acolhimento. Isso exige compreensão e esforço de todos os envolvidos.A fim de estender o acesso à nossa clínica, oferecemos condições personalizadas de pagamento, bem como atendemos alguns convênios como credenciados (Amil, Sul América, Saúde Caixa, Ajuris, Cabergs).





Viabilizamos cirurgias também para segurados de outros convênios como UNIMEDs, Bradesco Saúde e outras seguradoras, e contamos com equipe especializada para reembolsos de procedimentos hospitalares.


Novidades e Tecnologias
Um aspecto interessante da nossa clínica é o uso de tecnologias para qualificar o resultado e a experiência da cirurgia. Biomateriais, terapia laser de baixa intensidade, fibrina rica em plaquetas. Saiba mais em nosso bog.
Hospitais
Nossas cirurgias são realizadas no Hospital Blanc, Hospital Mãe de Deus, Hospital Moinhos de Vento e Santa Casa de Misericórdia de Porto Alegre.




Para sua segurança contamos com o apoio das melhores equipes de anestesistas de Porto Alegre, tanto para pacientes adultos, como pediátricos.
Política de Pagamento
Nossa proposta é para quem busca qualidade em seu tratamento, atendimento com importantes valores praticados: segurança, excelência técnica, cordialidade e acolhimento. Isso exige compreensão e esforço de todos os envolvidos.A fim de estender o acesso à nossa clínica, oferecemos condições personalizadas de pagamento, bem como atendemos alguns convênios como credenciados (Amil, Sul América, Saúde Caixa, Ajuris, Cabergs).





Viabilizamos cirurgias também para segurados de outros convênios como UNIMEDs, Bradesco Saúde e outras seguradoras, e contamos com equipe especializada para reembolsos de procedimentos hospitalares.


Outros serviços disponíveis
Cirurgia Oral
Extrações e cirurgias de dentes inclusos são os procedimentos mais frequentes da cirurgia bucomaxilofacial
Implantes Dentários
Implantes osseointegráveis, desde ausências unitárias até a reabilitação completa dos arcos com diferentes tipos de próteses
Clínica e Cirurgia de ATM
Alterações das articulações temporomandibulares podem causar transtornos na face, na mandíbula e dor



